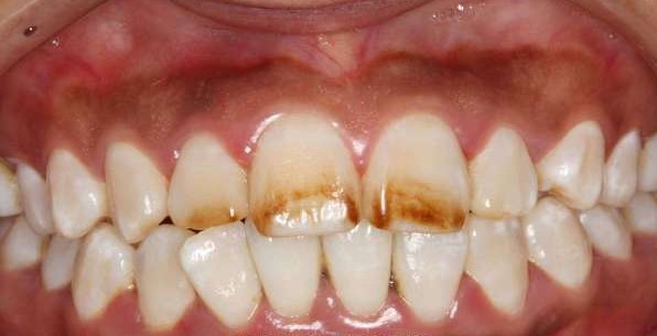
修复氟斑牙齿的费用如何

现在人们对口腔美容愈加重视,当有些人发现自己患上氟斑牙的时候,就会选择方法来进行治疗,自己表示瓷贴面可以有效治疗氟斑牙,那么瓷贴面修复氟斑牙齿的费用如何?下面就由深圳美莱口腔专家为大家详细介绍这个问题。
 
 
>>>点击专家在线咨询
 
  瓷贴面修复氟斑牙齿的费用如何?影响全瓷贴面牙齿的费用因素有很多,其中最关键的的是所选择的医院,地域,及个人的经济水平中和而谈。>>>点击专家在线咨询
 
  【影响瓷贴面修复氟斑牙齿的费用因素】
 
  1、医院的影响因素:医院的等级不同会影响到全瓷贴面牙齿的费用不同,五星级的医院和普通的口腔医院是存在质量上的差别的,所以费用也就不一样。
 
  2、地域的影响因素:不同的地区有不一样的消费水平,这是影响费用的直接原因,所在的地区消费高低直接影响全瓷贴面的费用高低。
 
  3、个人经济水平的影响原因:个人的经济水平是影响全瓷贴面牙齿费用的一个最直接的原因,个人的经济状况不同就会选择不一样价位的全瓷贴面,选择一种在接受能力范围内最好的全瓷贴面,这是必然的选择结果。
 
  【为你推荐性比价高的瓷贴面——3D全瓷牙贴面】
 
  3D全瓷牙贴面已经风靡全球50多个城市,从美莱口腔率先引进以来,最为人乐道的就是“3D全瓷牙贴面”的高效率度身定制服务,设计优美且实用、耐用。3D全瓷牙贴面就是用小块的超薄瓷片贴在人的牙齿表面,可以立刻改变牙齿的形态和颜色。美莱口腔所特有的3D全瓷牙贴面,硬度高达380Mpa,最薄达到0.2mm,可以真正做到不磨牙、微痛、无麻醉却又让人拥有一口洁白的好牙。用立竿见影来形容牙贴面的效果一点也不夸张,整个过程只需前往美莱口腔两次,在一两个小时的时间里,牙齿就可以变得焕然一新,拥有明星般的璀璨笑容再也不是遥不可及的梦想。
 
 
  美莱口腔根据客人的口腔情况、牙齿形状,严格参照黄金分割及微笑线比例,由专家为客人量身订制合适的牙贴面,全程采用先进的3D数码设计,客人可以预见三维效果。根据不同肤色、贴面也有多重颜色可供选择。许多好莱坞的明星们都对“3D全瓷牙贴面”的整体笑容设计和先进的技术非常青睐。>>>点击专家在线咨询


上一篇:四环素牙怎么治疗?

下一篇:没有了

推荐阅读

推荐专家