老年人全口牙缺失怎么办?
深圳吴奶奶种牙记

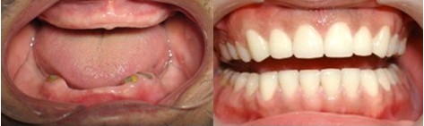
吴奶奶种牙效果图
住在深圳某小区的吴奶奶,66岁,因为早些年对牙齿不爱护,而且很节俭,有了牙病也不去治疗,导致66岁的她因为牙周病使全口的牙齿都掉光了,由于没办法咀嚼,平常吴奶奶的饮食都以流食为主,身体营养自然跟不上,人也越来越瘦,脸部也渐渐下凹变形了,吴奶奶的儿子小李看在眼里急在心里,母亲为自己操劳了一辈子,现在正是报答母亲让母亲享福的时候,母亲却因为牙齿的问题食不下咽,身体也越来越差。小李决心一定要给母亲做好牙齿,让母亲可以安享晚年。
于是,小李到处打听修复牙齿缺失的办法,在朋友的介绍下,小李到深圳美莱口腔找专家咨询,专家详细检查了吴奶奶的牙齿情况后,发现吴奶奶缺失的牙齿数目过多,并不适合做固定假牙,而且吴奶奶的牙槽低平,也无法接受活动假牙修复,但其牙床状况尚属良好,是在做种植牙可以接受的范围内,但是种植牙修复的费用较其他两种修复方式高。>>>种植牙适合哪些人
小李是个孝顺孩子,他觉得能让母亲好好吃饭,而且使用寿命长,能一次性解决问题,不要经常跑医院,这钱还是花得值得的。3个月后,吴奶奶的牙齿就种上了,种植牙完成后就可以正常进食了,现在胃口很好,吃肉也不成问题了!
吴奶奶种牙方案——微创种植牙
美莱口腔微创种植牙,用特殊的手术方式和技术来完成种植牙的植入过程,创伤降到近乎为0, 大大减少了肿痛、出血量,缩短了手术时间(手术时 间仅需30分钟 ),减低了感染 的风险,而且术后恢复愈合时间短,因此被国际牙医界冠以“微创”种植牙技术的美誉。>>>美莱种牙价格搞吗
优势1:微创微痛
国际最新微创治疗技术,过程舒适轻松。
优势2:即种即用
牙槽骨条件好可当天戴牙冠和进食,快速恢复真牙咀嚼功能。
优势3:成活率高
技术成熟,种植体与口腔环境完美结合,成活率极高。
优势4:稳固耐用
具有极强固位,和真牙一样,稳定耐磨抗腐蚀,效果可保持40年。>>>马上预约种牙
上一篇:半口牙缺失怎么办
推荐专家