牙齿有缝隙怎么办?
牙齿有缝产生的原因:
一、乳牙稀疏有缝又叫生理间隙,这些间隙的存在,对于较大的恒牙萌出后排齐是有利的。这种情况多见于儿童的替牙时期,常见于6一9岁之间,是一种暂时性的错合畸形,在牙齿替换完成并建立了新的咬合关系后,多可恢复正常。
二、替牙时,两个上门牙间有缝隙,这是替牙过程中的一种暂时现象。随着恒侧切牙、尖牙的萌出,间隙逐渐减小到完全自然消失但是当上门牙间的缝隙较大时,需要请医生检查是否有多生牙存在。
三、恒牙的稀疏有缝,一种是恒牙的形态较小如锥形牙或过小牙。另一种是恒牙有先天性缺牙。>>>牙缝大有哪些危害

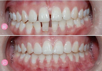
正畸矫正牙缝过大案例
那牙齿有缝怎么办呢?
对于牙齿有缝的患者,选择做烤瓷冠治疗改变牙的颜色和形态,是一种较好的牙齿修复方式,无论是美观,还是性能都是首屈一指,首推全瓷牙修复。适合不同年龄的患者。烤瓷牙修复的优点在于效果快,治疗周期大概2-3周时间,能够排齐部分牙。
另一种烤瓷贴面治疗,其优点是效果快,不用杀神经,周期大概两周时间,能够排齐部分牙,能改变牙的颜色和形态,缺点在于是强度差一点,不能改变太不齐的牙。
另外,使用隐形矫正技术亦可以自然、美观,更重要的是隐形地矫正牙齿稀疏,这种矫正技术为大多数年轻都市丽人所追捧。

烤瓷牙修复牙缝过大案例
全瓷牙推荐——美莱3D精雕全瓷牙
全瓷烤瓷牙没有金属基底冠的存在,有效避免了金属过敏和牙龈黑线等问题的出现,对人体健康无任何毒副作用。透明度好,光泽度较佳。形态颜色更加自然逼真。全瓷烤瓷牙与金属烤瓷牙相媲美的抗压强度,完全不必担心瓷崩裂的现象。全瓷烤瓷牙磨牙较少,更大程度地保留自己的牙齿组织。>>>马上预约全瓷牙修复
瓷贴面推荐——3D全瓷牙贴面
美莱口腔所特有的3D全瓷牙贴面,硬度高达380Mpa,最薄达到0.2mm,可以真正做到不磨牙、微痛、无麻醉却又让人拥有一口洁白的好牙。用立竿见影来形容牙贴面的效果一点也不夸张,整个过程只需前往美莱口腔两次,在一两个小时的时间里,牙齿就可以变得焕然一新,拥有明星般的璀璨笑容再也不是遥不可及的梦想。
隐形矫正技术推荐——美莱无托槽隐形矫正
美莱无托槽隐形矫正技术彻底颠覆传统“铁嘴钢牙”,从外面丝毫看不到矫正器,在不知不觉中牙齿发生质的改变,整齐牙齿悄然呈现。看不见的矫正,看得见的笑容。整个矫正过程不影响工作、社交和生活。>>>马上预约隐形矫正上一篇:虎牙
推荐专家