牙齿错位怎么治疗

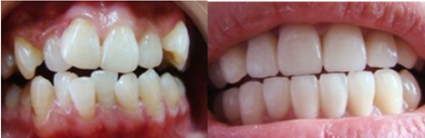
牙错位矫正真人案例
牙齿错位怎么治疗?
1、金属托槽牙齿矫正
普通金属托槽牙齿矫正技术是一种最传统的,也是价格最便宜的牙齿矫正技术。普通金属托槽牙齿矫正技术采用的传统正畸固定矫治器为不锈钢托槽,应用比较广泛。
2、陶瓷托槽矫正
陶瓷托槽矫正与一般的金属托槽相比最显著的特点就是美观。无色、透明的托槽完美地实现了矫治过程的隐蔽性,其良好的生物相容性也避免了因长时间使用属托槽引起的牙面发暗、牙龈发炎、口腔溃疡等不良反应,更利于口腔健康。>>>马上预约矫正
3、隐形托槽矫正
隐形矫正又叫“隐形托槽矫正”,是牙齿矫正的一种。隐形托槽矫正没有传统矫治过程中的钢丝和托槽,不影响美观等突出优点而广受美齿者青睐。这种隐形矫治技术继承了传统的牙颌畸形矫治理念,是现代口腔医学、计算机辅助三维诊断、个性化设计及数字化成型技术的完美结合。
4、自锁托槽矫正
自锁托槽矫治器是依赖滑动或转动的托槽盖、栓盖或弹性夹把弓丝固定于托槽槽沟内,它是相对于传统的结扎式托槽而言的。自锁托槽矫治器特点在于摩擦力小、矫治疗程较短、利于口腔卫生等优点。上一篇:牙齿有缝隙怎么办?
推荐专家